Quando si tratta di diagnosticare con precisione l'ipotiroidismo canino, la misurazione dell'rT3 e le analisi basate sulla LC-MS/MS forniscono informazioni cruciali, specialmente nei casi dubbi.
Tumori spontanei nei porcellini d'India: frequenza, localizzazione, istologia
Valutazioni specialistiche dei sintomi, della diagnosi e del trattamento dell'anaplasmosi granulocitica nei piccoli animali e nei cavalli
Faecal biomarkers represent a valuable, non-invasive tool for gaining insights into pathophysiological processes in the gastrointestinal tract.
Rispetto alla comparsa di tumori in altri organi, le neoplasie intraoculari sono relativamente rare nei cani e nei gatti. I tumori primari sono più comuni delle malattie metastatiche.
Le patologie dell'orecchio nei conigli sono una causa comune di visita presso una clinica specializzata in piccoli mammiferi.
I panel di esperti LABOKLIN, che presentano argomenti interessanti e specialisti di alto livello, sono estremamente popolari. Abbiamo selezionato le risposte più importanti alle vostre domande sul tema del linfoma.
Le Giardia (G.) intestinalis (sin. G. duodenalis, G. lamblia) colpisce un'ampia gamma di vertebrati. Negli animali di età inferiore a un anno, Giardia è uno degli endoparassiti più comuni.
What are common findings and what needs to be considered when diagnosing and selecting tests.
Prima di qualsiasi esame del campione prelevato, è essenziale porre attenzione alla preanalitica, ovvero la preparazione del paziente, la raccolta del campione, il trasporto al laboratorio e la preparazione del campione per l'analisi.
L'epilessia idiopatica nei cani e nei gatti solleva spesso diverse domande per i proprietari degli animali e i veterinari. Un gruppo di rinomati esperti del settore ha affrontato questo importante argomento in questo approfondimento.
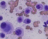
Le leucemie sono relativamente rare nei cani e nei gatti rispetto ad altre neoplasie solide.
Scoprite tutto sulla mutazione BRAF e sul test BRAF comp. nei cani: come questi test contribuiscono alla diagnosi dei carcinomi della vescica e della prostata.
2024
Il termine malattia di Addison non è più raccomandato nelle attuali linee guida ALIVE (ALIVE: Agreeing Language in Veterinary Endocrinology) poiché si riferisce solo all'ipoadrenocorticismo primario.
Quanto spesso vivi queste esperienze nella tua struttura? Un cucciolo di otto settimane sviluppa un grande ematoma dopo l’ìnserimento del microchip...
Conigli, porcellini d'India, ratti, ecc. sono animali domestici molto apprezzati e pazienti ormai quotidiani nei nostri ambulatori per piccoli animali. Come per tutti gli animali, anche nei piccoli mammiferi i micoplasmi rivestono una grande importanza.
Può un semplice prelievo di sangue semplificare l’esame invasivo e costoso dei pazienti affetti da tumore? Proprietari e veterinari si confrontano spesso con questa domanda.
Le tavole rotonde con gli esperti stanno diventando un appuntamento fisso e sono molto apprezzate. Rinomati professionisti rispondono a domande su argomenti importanti e attuali.
I coronavirus felini (FCoV) sono distribuiti in tutto il mondo e sono comunemente osservati nella quotidianità veterinaria. Esistono due diversi biotipi di FCoV:
I piccoli mammiferi sono animali da fuga e da preda. Le malattie gravi devono rimanere a lungo mascherate, altrimenti questi animali diventano facilmente vittime dei predatori!
I rodenticidi (“veleni per topi”) sono ripetutamente causa di avvelenamenti mortali in cani e gatti.
L’esame gold standard nella diagnosi dei mastocitomi (MCT) è la citologia o l'istopatologia. La stadiazione clinica si basa sul quadro clinico compreso lo stato dei linfonodi (citologia/istologia).
Le infezioni da Echinococco sono tra le più importanti zoonosi causate dai cestodi.
L'animale è castrato o non castrato? Questa domanda sorge sempre quando ci si presentano animali ritrovati o nei rifugi per animali abbiamo soggetti senza cicatrici da castrazione e quindi lo stato di castrazione è poco chiaro.
Le specie di vermi polmonari più importanti nei cani e nei gatti si riferiscono alla superfamiglia dei nematodi Metastrongyloidea, i cui stadi adulti vivono nei polmoni dei loro ospiti.
Ormai il gruppo di esperti Laboklin è diventato familiare. Gli esperti invitati affrontano domande inerenti a determinate patologie in una discussione moderata.
2023
I dermatofiti sono funghi filamentosi, cheratinofili, distribuiti in tutto il mondo.
I parassiti hanno sviluppato diverse strategie di sopravvivenza.
L’ipotiroidismo è una malattia endocrina comune nei cani.
I coronavirus sono da molto tempo un argomento importante in medicina veterinaria a causa della loro distribuzione mondiale e della suscettibilità di un’ampia varietà di specie.
I disordini digestivi sono uno dei principali motivi per cui un animale viene portato dal veterinario con sintomi comuni come vomito, anoressia, flatulenza, perdita di peso e diarrea.
Il microbiota gastrointestinale è una complessa comunità di microrganismi che colonizzano il tratto digestivo e svolgono un ruolo importante nella salute e nel benessere degli animali.
I sensi dell'udito e dell'equilibrio si trovano nell'orecchio.
I pazienti felini con infezioni respiratorie sono comuni nelle strutture per animali da compagnia.
"L'ultimo figlio ha il pelo". Questa credenza sociale significa che i cani vivono spesso a stretto contatto con le persone, come i membri di una famiglia.
Le infezioni batteriche della cute o piodermiti sono molto diffuse e spesso secondarie ad altre malattie della cute come la dermatite allergica e le endocrinopatie.
Enteropatia cronica: un argomento complesso che solleva molte domande.
Fino a poco tempo fa, la peritonite infettiva felina (FIP) era una malattia mortale rilevabile solo patologicamente. Attualmente, si fanno strada sempre più opzioni per la diagnostica (di laboratorio) e la terapia.
2022
Quando sospettare l'emolisi? Sospettiamo l'emolisi soprattutto nell’anemia rigenerativa, quando è stata esclusa la perdita di sangue.
I parametri che utilizziamo per valutare la funzione renale sono i cosiddetti biomarcatori. Se i reni non funzionano come dovrebbero, rimangono nel sangue. Osservando i loro livelli, possiamo dedurre la gravità della disfunzione renale. Sembra semplice e in realtà lo è.
Gli uroliti vengono diagnosticati in ca. lo 0,5–1% di pazienti canini e felini che si presentano agli studi veterinari tedeschi con problemi urologici.
Come fare diagnosi senza test di laboratorio? Che si tratti di emocromo, rilevamento di agenti patogeni o patologia, è difficile immaginare una diagnostica di successo senza test di laboratorio.
Le proteine di fase acuta (APP) sono importanti componenti del sistema immunitario innato del corpo.
Nel cane e nel gatto, l’aumento dell’escrezione di proteine urinarie è un fatto patologico e altamente correlato con una ridotta sopravvivenza del rispettivo animale.
Gli animali domestici di piccola taglia sono ora tra gli animali domestici più popolari in Germania
2021
La peritonite infettiva felina (FIP) si sviluppa in circa l'1–3% (1) fino al 5–12% (2, 3) dei gatti infettati dal coronavirus enterale felino (FECV).
Sono frequenti i cani con otite esterna (o.e.) che vengono portati dal veterinario. I segni clinici sono scuotimento della testa, prurito, irrequietezza e un odore sgradevole.
In Europa, il virus del vaiolo bovino è il rappresentante più rilevante del genere Orthopoxvirus nella famiglia Poxviridae.
La celiachia umana è una enteropatia indotta dal glutine, caratterizzata da uno specifico genotipo genetico (geni HLA-DQ2/HLA-DQ8) e la rilevazione di autoanticorpi contro il glutine.
La diagnosi di allergia è sempre clinica, si basa sui dati ottenuti dall'anamnesi (inclusi età, razza, stagionalità) e dall'esame clinico.
Le opzioni disponibili per il trattamento dell’iperadrenocorticismo nei cani sono fondamentalmente le seguenti: per la Malattia di Cushing, un tumore della ghiandola pituitaria che secerne ACTH, sono l’ ipofisectomia e la radioterapia; per la sindrome di Cushing, ad es. iperadrenocorticismo di origine surrenalica, può essere presa in considerazione la surrenectomia.
2020
Le reazioni avverse al cibo (adverse food reactions, AFR) comprendono processi di origine immunomediata (allergie) e non immunomediata (intolleranze, tossicità) associati all’assunzione di cibo.
Laboklin vi presenta i risultati di un vasto studio retrospettivo basato sui dati di screening allergologici condotti su 10.832 cani e 1.872 gatti.
I pazienti che mostrano comportamenti indesiderati sono spesso portati con ritardo in visita rispetto all’esordio della patologia, dal momento che il comportamento non è associato ad una patologia ma alle circostanze e alla natura dell’animale.
Il profilo del DNA è l’impronta digitale genetica del tuo animale. Non può essere manipolato né distrutto, rimane inalterato per tutta la vita e permette un’identifcazione indiscussa del soggetto.
L’idea di alimentare cani e gatti con cibi crudi è stata sviluppata agli inizi degli anni 90 da un veterinario australiano. L’acronimo BARF sta per Biologically Appropriate Raw Food (alimento crudo biologicamente appropriato).
I tamponi non sterili possono essere utilizzati nella diagnostica PCR?
Nella cavia ammalata, la diagnostica di laboratorio mette a disposizione degli importanti e specifici test diagnostici.
Nel gatto vengono di routine determinati tre gruppi sanguigni: A, B e C.
Il corpo dei mammiferi è colonizzato da innumerevoli microrganismi come batteri, funghi, protozoi e virus.
Step 1: definire il problema come pruriginoso. Non esiste patologia allergica senza prurito.
2019
Sintomi: quali sono i principali sintomi clinici di un'allergia alimentare?
Potrò sembrare di parte essendo io stessa un veterinario comportamentalista, ma quando si decide di avere una cucciolata sarebbe ottimo consultare un veterinario esperto in comportamento animale.
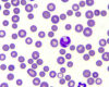
Una tecnica utile per diagnosticare le anomalie del sangue
Il tanto amato / odiato / incompreso trasportino o kennel.
Sterilizzare-castrare un cane o un gatto: è una delle richieste più frequenti fatte al veterinario.
Laboklin mette a disposizione dei veterinari i test allergologici sierologici più accurati e affidabili.
Sicuramente la prima domanda che molti si pongono è: “Perché dovrei usare la pettorina invece del semplice collare?”
Nei cani i batteri colonizzano molte zone del corpo come la superficie della pelle e tutte le membrane mucose direttamente esposte all'ambiente
L'uomo ha deciso di convivere con cane e gatto inizialmente per motivazioni utilitaristiche ma successivamente anche per compagnia e dedizione.
La dermatofitosi, nei cani e nei gatti, è una frequente malattia fungina superficiale della pelle.
2018
Il prurito è uno dei principali motivi delle visite veterinarie.
2017
CCD (cross-reactive carbohydrate determinant) - catene laterali dei carboidrati cross reattive
2016
Per avere un esito attendibile nella rilevazione degli agenti patogeni mediante gli esami batteriologico e micologico (coltura) o tramite la metodica PCR (Polymerase Chain Reaction), sono importanti sia una adeguata raccolta di materiale che un corretto invio.
Nel corso di alcune malattie o durante la somministrazione di alcuni farmaci, può/deve essere eseguito un monitoraggio della terapia.
Il pancreas è un organo molto importante per la digestione in cani e gatti, è composto da una parte esocrina e una endocrina.
L’esame microscopico di sezioni di tessuto dopo fissazione in formalina (10%) e inclusione in paraffina, è utile p.es. per la diagnosi di tumori, disturbi di organi/cute o infiammazioni e infezioni.
Nel campo della diagnostica clinica la PCR-reazione a catena della polimerasi ha fatto breccia già da tempo guadagnando sempre più importanza.
2015
La citologia è un valido strumento per la diagnosi di molte patologie cutanee.
L’utilizzo di antibiotici per la terapia di infezioni batteriche nella pratica clinica veterinaria è irrinunciabile e rappresenta un fondamentale supporto nel lavoro di tutti i giorni.
2014
Nel corso di una infiammazione l‘organismo reagisce con una risposta immunitaria non specifica, detta REAZIONE DI FASE ACUTA - AKUTE PHASE REAKTION (APR).
La richiesta di un chiarimento diagnostico nel caso di un processo linfoproliferativo è spesso un punto critico in un ambulatorio veterinario.
2013
Quando si parla di allergia alimentare negli animali, vengono spesso usati come sinonimi termini del tipo: ipersensibilità alimentare (FH), intolleranza alimentare, risposta anomala al cibo, reazione cutanea allergica verso componenti alimentari o dermatite atopica indotta dal cibo (FIAD = food induced atopic dermatitis).
La Leptospirosi è una zoonosi presente in tutto il mondo. L‘agente patogeno è un battere elicoidale gram-negativo del gruppo delle spirochete.
Il termine „influenza“ nel gatto è prima di tutto un termine generico per indicare le malattie infettive che colpiscono le vie respiratorie e le mucose del gatto.
I Criptosporidi sono protozoi intracellulari obbligati molto piccoli. Fanno parte dei coccidi. Uno degli agenti patogeni nell‘uomo e nei mammiferi è Cryptospordium parvum.
Non solo nella pratica veterinaria degli animali da reddito, anche nel campo degli animali da compagnia e dei cavalli sono ora sempre di più gli organismi multiresistenti che danno problemi nel corso di una terapia antibiotica.








































































