Segnalamento
Cane, 10 anni, femmina intera, Yorkshire Terrier.
Anamnesi
Un cane è stato indirizzato a un veterinario dermatologo con un’anamnesi di 2 anni di lesioni cutanee non permanenti sulla testa e prurito che colpiva il viso e le orecchie. Il proprietario aveva osservato un peggioramento delle condizioni della cute negli ultimi 4 mesi: il prurito era diventato più grave e generalizzato. Il cane aveva anche una storia di congiuntivite e otite. L’esame istopatologico eseguito pochi mesi prima indicava la presenza di follicolite cronica e foruncolosi. Il cane era nutrito con cibo commerciale secco e umido. Non era in contatto con altri animali e non aveva precedenti di viaggi. Il trattamento precedente aveva compreso antibiotici sistemici, antiparassitari e farmaci antinfiammatori non steroidei (acido tolfenamico), preparati otologici e oftalmici polivalenti topici, shampoo terapia, impacchi salini e un integratore alimentare contenente acidi grassi essenziali, zinco e vitamine. Il paziente è stato sottoposto anche a una prova di terapia con glucocorticoidi. Il cane ha assunto cefalexina negli ultimi giorni. Non è stato osservato alcun miglioramento nonostante un approccio terapeutico ad ampio spettro.
Esame fisico
La presenza di lesioni cutanee è stata confermata all’esame clinico (Fig. 1A-C). Sono state identificate croste grossolane su entrambi i padiglioni auricolari e sulla guancia destra. Anche le lesioni individualizzate erano distribuite diffusamente sul dorso dell’animale. Ulcerazione e marcati essudati purulenti erano evidenti sotto le croste. Erano presenti anche segni di congiuntivite. I raschiati cutanei erano negativi per parassiti. Non sono stati osservati altri segni clinici.
Approfondimenti
Ematologia e biochimica
Sono stati eseguiti un emocromo completo e l’esame biochimico: sono risultati insignificanti.
Microbiologia
L’essudato prelevato da sotto la crosta è stato raccolto con un tampone sterile e inviato per la coltura batterica. Il pelo strappato è stato utilizzato per la coltura fungina. Entrambi i test sono risultati negativi.
Tiroide
È stato valutato lo stato della tiroide. Il T4 totale era leggermente diminuito (1.22 μg/dL, intervallo di g/dL, intervallo di riferimento, RI: 1.3-4.5 μg/dL, intervallo di g/dL), mentre l’fT4 (16.1 pmol/L, RI: 7.7-47.6 pmol/L) e il TSH (0.4 ng/mL, RI: < 0.60 ng/mL) erano risultati entro i limiti.
Quale sarebbe la tua conclusione, l’elenco delle diagnosi differenziali e cosa faresti dopo?
Quale sarebbe la tua conclusione, l’elenco delle diagnosi differenziali e cosa faresti dopo?
Interpretazione dei risultati
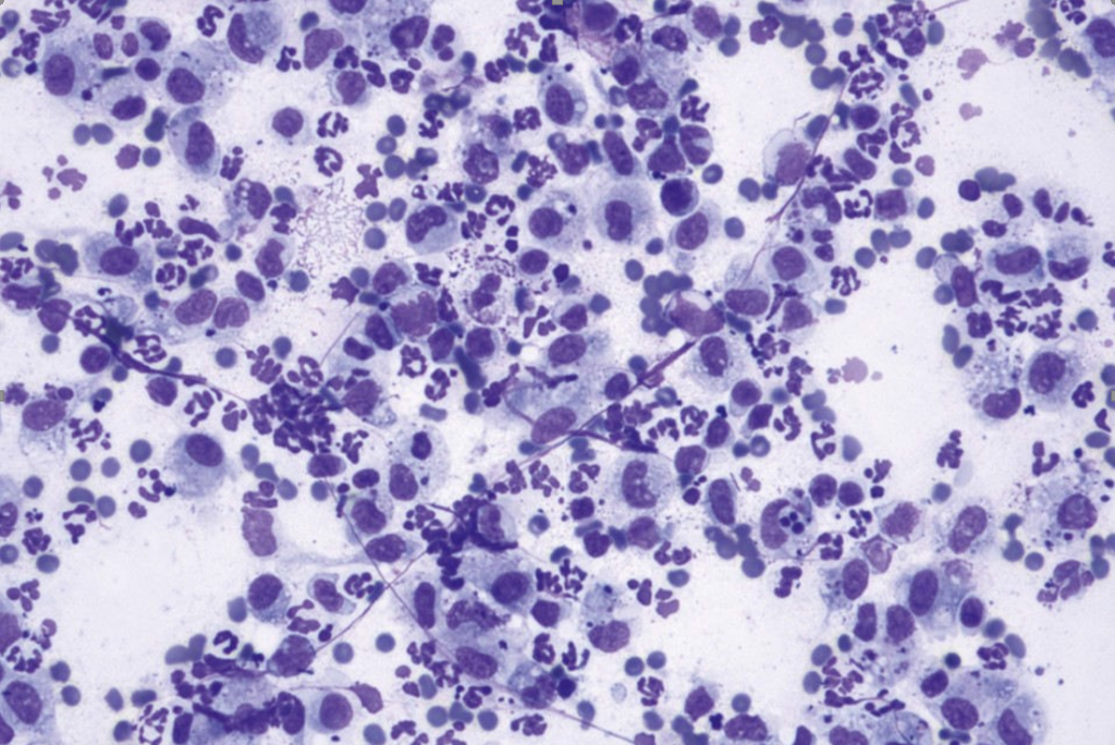
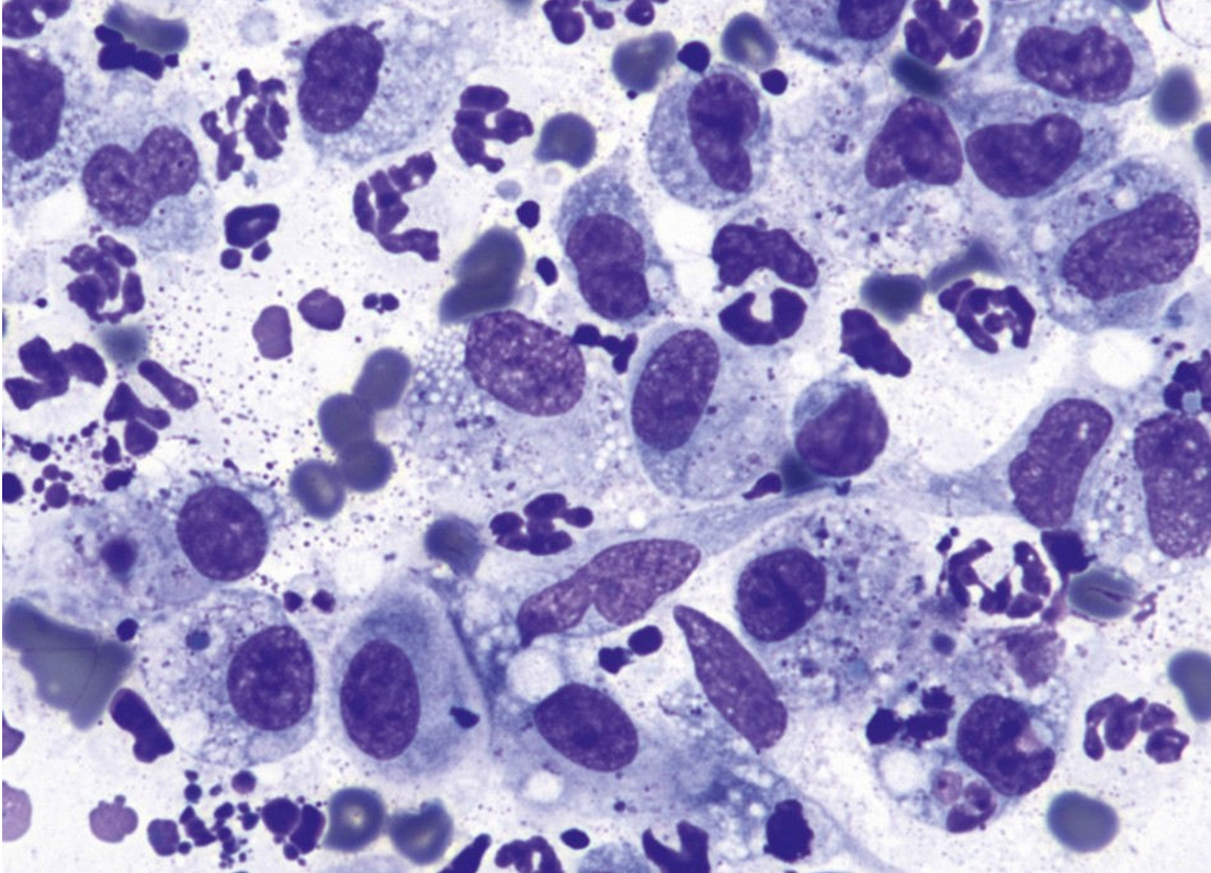
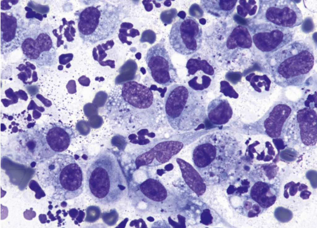
Citologia
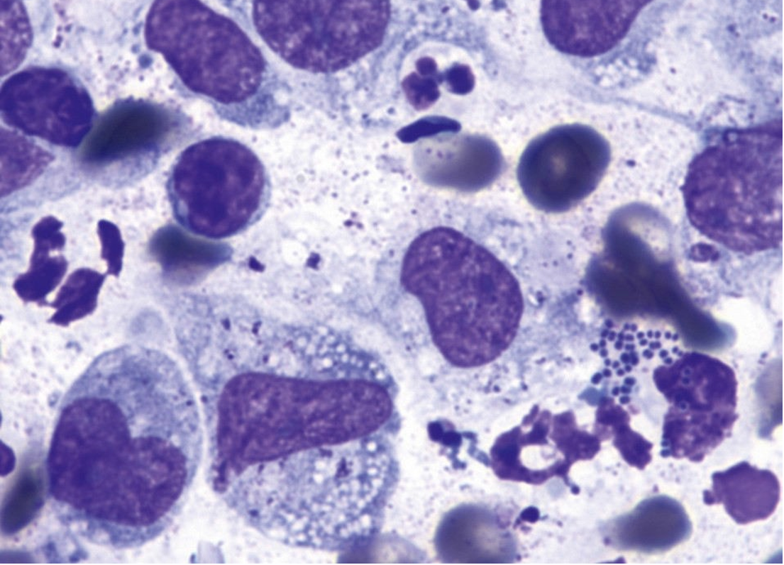
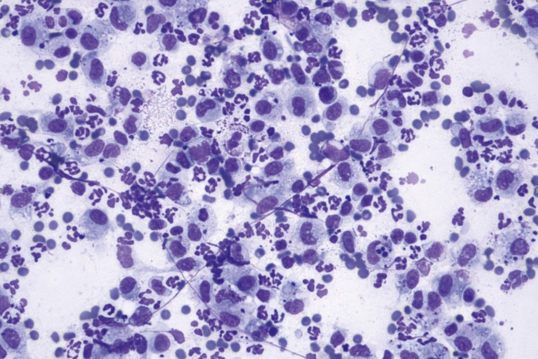
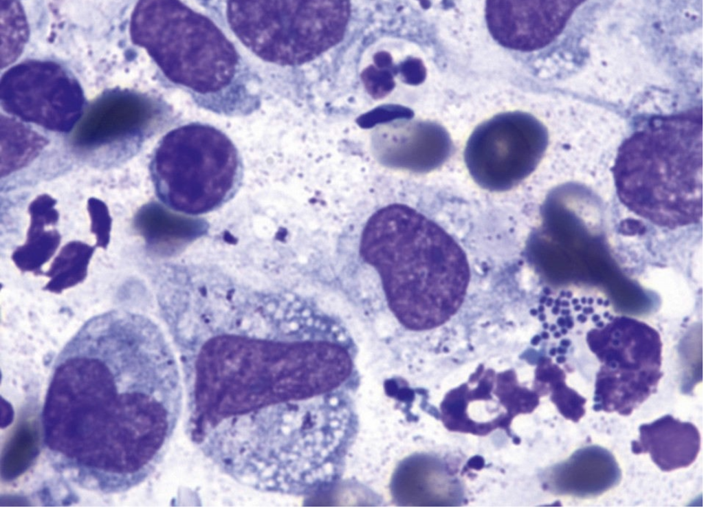
La citologia ha mostrato un numero elevato di neutrofili (sia non degenerati che degenerati) e macrofagi. Alcuni dei macrofagi mostravano leucofagia e fagocitavano piccole particelle e detriti. Sono stati osservati linfociti occasionali (per lo più piccoli). Sono stati anche identificati occasionali batteri intracellulari (cocchi). Questi risultati hanno indicato la presenza di infiammazione mista con una componente batterica. L’infezione potrebbe essere stata primaria o secondaria a un altro disturbo.
Microbiologia
La coltura batterica è stata probabilmente un falso negativo dati i risultati citologici. La terapia antibiotica riduce la sensibilità della coltura nel rilevamento di organismi batterici. Quando si invia un campione per l’esame microbiologico è importante indicare nell’anamnesi che il paziente sta prendendo antibiotici. La coltura fungina negativa non è stata di supporto per l’infezione da dermatofiti.
Tiroide
Un T4 tot. diminuito con TSH e T4 libero normali era più coerente con la sindrome del malato eutiroideo, p.es. secondario a malattie della pelle.
Conclusioni, diagnosi differenziali e passi successivi
Sulla base dei dati clinici e di laboratorio è stata diagnosticata una piodermite profonda, probabilmente secondaria a un processo patologico sottostante, come un disturbo allergico o una condizione immuno-mediata. Un’infezione fungina e una neoplasia (ad es. linfoma) sono state considerati improbabili dati i risultati di laboratorio precedenti e attuali. Non c’erano prove di ipotiroidismo o malattie parassitarie. Un ulteriore approfondimento diagnostico (es. biopsia cutanea ripetuta) è stata pianificato dopo aver controllato la piodermite profonda. L’antibiotico è stato cambiato con la doxiciclina. Il trattamento a breve termine comprendeva anche un unguento oftalmico polivalente e impacchi salini. All’appuntamento successivo, 2 settimane dopo, non è stato osservato alcun miglioramento. Le lesioni sono comparse anche sulla fronte, alla base dei padiglioni auricolari e nell’area perioculare. A quel punto, fu presa la decisione di ripetere l’esame istologico. Poiché si sospettava un processo immuno-mediato, il trattamento con prednisolone (5 mg / kg p.o.) è stato iniziato immediatamente dopo la raccolta dei campioni bioptici. Dopo l’inizio della terapia con glucocorticoidi, le lesioni si sono diffuse in tutto il corpo (Fig. 3). Anche le condizioni generali del cane sono peggiorate: è diventata leggermente letargica e il suo appetito e la sua sete sono diminuiti.
Ulteriori test
Istologia
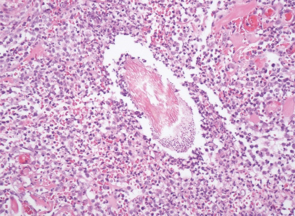
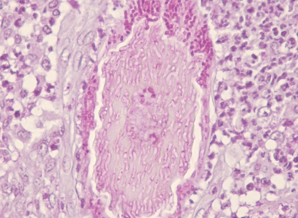
La biopsia del punch è stata prelevata dalla pelle nell’area periauricolare. L’esame istologico ha rivelato un’infiammazione grave, nodulare, piogranulomatosa e perifollicolare con foruncolosi multifocale. Elementi fungini (spore e ife) sono stati identificati nella sezione colorata di routine con ematossilina ed eosina (H&E). La loro presenza è stata confermata dalla colorazione Periodic acid-Schiff (PAS). I risultati istologici erano compatibili con un’infezione fungina superficiale della pelle – dermatofitosi (fig. 4A e B).
Diagnosi: dermatofitosi
Trattamento e follow-up
È stata effettuata una terapia antifungina sistemica: è stato iniziato un trattamento di almeno 6 settimane con itraconazolo. Sono stati inoltre raccomandati la shampoo terapia e l’integrazione alimentare di ß-glucani (per le sue proprietà immunostimolanti). Sono continuati il trattamento oculare e le compresse saline. Le condizioni generali del paziente sono migliorate rapidamente dopo l’inizio del trattamento. Al follow up, un mese dopo, il proprietario ha riferito che il cane stava andando molto bene e all’esame clinico è stato osservato un netto miglioramento delle condizioni della pelle (Fig. 5). È interessante notare che poche settimane dopo ai proprietari del paziente è stata diagnosticata un’infezione fungina della pelle che ha sollevato preoccupazioni sulle infezioni crociate.
- Figura 1A: Lesione purulenta e crostosa nell’area periauricolare (A e B) e congiuntivite (C) in un cane
- Figura 1B
- Figura 1C
- Figura 2A: Citologia per impronta su vetrino della lesione cutanea di un cane; 20x (A); 50x (B); 100x (C) (colorazione Hemacolor)
- Figura 2B
- Figura 2C
- Figura 3: Deterioramento delle lesioni cutanee in un cane dopo glucocorticoidi
- Figura 4A: Dermatofitosi su cute con pelo di un cane: spore fungine e ife intorno ai fusti piliferi nei follicoli piliferi e foruncolosi; 20x, colorazione ematossilina e eosina (H&E) (A); 40x, colorazione Periodic acid–Schiff (PAS) (B)
- Figura 4B
- Figura 5: Miglioramento delle lesioni cutanee in un cane 1 mese dopo l’inizio della terapia antifungina
Immagini:
Maciej Guzera, DVM PhD DipECVCP MRCVS
Agnieszka Cekiera, DVM PhD
Gerhard Loesenbeck, Dr. med. vet., specializzato in patologia
Riepilogo
La dermatofitosi, chiamata anche tigna, è un’infezione fungina della pelle, del pelo e degli artigli con un potenziale zoonotico. Nel cane è più comunemente causata da Microsporum canis, seguito da Microsporum gypseum e Trichophyton mentagrophytes. Si manifesta principalmente negli animali giovani e/o immunocompromessi.
Gli Yorkshire Terrier sono più suscettibili alle gravi infezioni da M. canis. I segni tipici includono la presenza di lesioni ad anello con alopecia, papule, desquamazione, formazione di croste e iperpigmentazione.
In alcuni pazienti possono verificarsi follicolite / foruncolosi facciale e lesioni cutanee nodulari (cherion). Le zone più colpite sono viso, orecchie, coda e zampe. La malattia può essere diagnosticata mediante esame con Lampada di Wood, esame microscopico diretto di peli e squame, coltura fungina, esame istopatologico e metodiche molecolari (PCR). Sebbene l’esame alla luce di Wood sia appropriato per lo screening iniziale e l’esame microscopico diretto possa consentire una diagnosi rapida, entrambi i test dovrebbero essere usati con cautela a causa dei loro limiti (ad es. rischio di ottenere risultati falsi positivi e falsi negativi). La coltura è il test diagnostico più sensibile per la dermatofitosi ed è generalmente raccomandata per la conferma della malattia nei casi sospetti. L’istopatologia è meno sensibile della cultura. Dovrebbe essere eseguita in pazienti con risultati ambigui, nonché forme nodulari e atipiche della malattia. Come dimostrato da questo caso, l’infezione fungina non può essere totalmente esclusa sulla base dei risultati negativi dei test diagnostici. Tecniche di campionamento appropriate, accesso a servizi diagnostici di alta qualità e valutazione critica dei dati di laboratorio sono molto importanti per raggiungere una diagnosi corretta. Il trattamento è generalmente raccomandato, assicurando una rapida risoluzione della malattia e limitandone la diffusione. Tuttavia, cani adulti sani possono riprendersi senza intervento farmacologico. La terapia ottimale consiste di componenti topiche, sistemiche e ambientali.
Maciej Guzera1,2 DVM PhD DipECVCP MRCVS
Agnieszka Cekiera3 DVM PhD
Gerhard Loesenbeck1 Dr. med. vet., specializzato in patologia













