ASIT Horse: Reasons for discontinuing treatment and optimizing treatment success
Overview of forms, diagnosis and treatment of cutaneous lupus erythematosus in dogs – practical and up to date
Pruritus, commonly known as itching, is an unpleasant sensation that provokes the reflex to scratch. Despite extensive research, the mechanisms underlying pruritus are not fully understood, making it a continued subject of investigation.
2024
According to the guidelines of the International Committee on Allergic Diseases of Animals (ICADA), it is recommended that ASIT be continued for at least 12 months before clinical success is assessed.
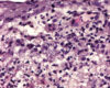
Pemphigus foliaceus (PF) is the most common autoimmune skin disease in dogs and cats.
Alopecia in dogs can have many causes. There may be alopecia secondary to scratching, licking or pulling of hair in dogs with pruritus.
While horses are not large dogs, there are many procedures, such as dermatological examinations, that are very similar to those used in dogs.
2023
Alopecia in dogs can have many causes. There may be alopecia secondary to scratching, licking or pulling of hair in dogs with pruritus.
Insect stings can trigger hypersensitivity reactions in dogs.
2022
There are multiple causes of alopecia in small mammals. Endocrine causes are considered after ruling out ectoparasitic diseases.
Clinically, non-inflammatory alopecia is the absence of hair without other skin lesions.
Pyodermas or bacterial skin infections (Greek: “pyo“ - pus and “derma“ - skin) are highly prevalent in dogs.
2021
Alopecia (hair loss) in cats is a common reason for cats being presented to the veterinary practice.
Atopic dermatitis (AD) is an IgE-mediated allergic skin disease to environmental allergens.
The oak processionary (Thaumetopoea processionea) belongs to the order of moths (Lepidoptera), specifically a species of toothed moth.
Alopecia or pathological hair loss is a frequent reason for consultation with dermatological patients, a variety of skin diseases in dogs can cause impairment of hair growth.
2020
Goliat is a male dachshund crossbreed born in 2012. At the age of 4 years, he was adopted by a Hungarian animal welfare organisation.
Atopic patients often produce IgE against allergens. But there are some patients who despite presenting allergic clinical signs IgE cannot be detected; this disease is called atopic-like dermatitis (ALD).
Hass, an 18-month-old male, mixed-breed dog weighing 42 kg, was presented with a six-month history of a rash on his legs and ears.
Piper is a 7-year-old Australian Shepherd (allegedly purebred), female, not neutered.



















