Secondo un’indagine del 2020 condotta dall’Associazione tedesca dell’industria degli animali domestici, in Germania vivono 5 milioni di piccoli animali domestici nel 5% delle famiglie. Un importante rappresentante di questo gruppo è la cavia. Questi animali provengono originariamente dal Sud America, ma furono introdotti in Europa dai marinai spagnoli già nel XVI secolo. Nel loro habitat naturale vengono utilizzati come animali da reddito per la produzione di carne. Nell’Europa centrale, tuttavia, la cavia domestica viene tenuta come animale domestico.
Le cavie vivono spesso più a lungo se tenute come animali domestici che in natura. Questo porta inevitabilmente a malattie che colpiscono gli animali adulti e anziani, come i tumori.
Esistono solo pochi articoli sui tumori spontanei che si verificano nelle cavie (Dobromylskyj et al., 2023).
Tuttavia, negli ultimi anni, la disponibilità dei proprietari di animali domestici a sottoporre i propri animali a visita e trattamento in caso di malattia è aumentata.
Per ottenere una panoramica dei tumori che svolgono un ruolo nelle cavie, sono stati valutati i casi di tumori presentati a Laboklin dal 2013 al 2020.
I criteri di inclusione erano l’indicazione della sede del tumore e campioni in cui fosse possibile una diagnosi chiara. Durante il periodo esaminato, questi criteri sono stati applicati a 1.017 tumori.
Nella sezione seguente vengono analizzate più in dettaglio le sedi da cui hanno avuto origine questi tumori, quali tumori sono stati diagnosticati più frequentemente, se predominavano neoplasie benigne o maligne e quali tumori insoliti si sono verificati in questi animali.
Localizzazioni dei tumori
I tumori presentati provenivano da un’ampia varietà di sedi, con i tumori del tessuto (sotto-)cutaneo più frequentemente sottoposti a diagnosi. Seguono tumori della ghiandola mammaria, dell’utero e del tessuto linfatico. Sono stati presenti anche tumori della tiroide. Le alterazioni neoplastiche in altri organi sono state sottoposte a diagnosi molto meno frequentemente (Fig. 1). Poiché i tumori del tessuto sottocutaneo vengono notati dai proprietari durante la manipolazione e la cura degli animali, questo è probabilmente uno dei motivi per cui le neoplasie in questa sede sono state sottoposte a diagnosi più frequentemente, mentre possibili processi negli organi interni potrebbero non essere necessariamente evidenti ai proprietari o richiedere interventi chirurgici più complessi.
Diagnosi tumorali
Tra i campioni inviati, il lipoma è stata la diagnosi tumorale più comune nelle cavie. I tumori del follicolo pilifero sono seguiti al secondo posto. Sono state effettuate numerose altre diagnosi tumorali (Fig. 2). Poiché la cute e il tessuto sottocutaneo predominavano come siti di campionamento, non sorprende che i tumori del tessuto adiposo e i tumori del follicolo pilifero fossero le diagnosi più comuni.
Frequenza dei tumori benigni/maligni
Per ottenere una migliore panoramica del rapporto tra tumori benigni e maligni, è stato creato lo schema nella figura seguente che riguarda i tumori più frequentemente sottoposti a diagnosi (Fig. 3).
I tumori mesenchimali ed epiteliali (sotto-)cutanei più comuni sono stati ulteriormente suddivisi per ottenere una migliore panoramica e valutare se predominassero neoplasie benigne o maligne.
Tumori mesenchimali (sotto-)cutanei
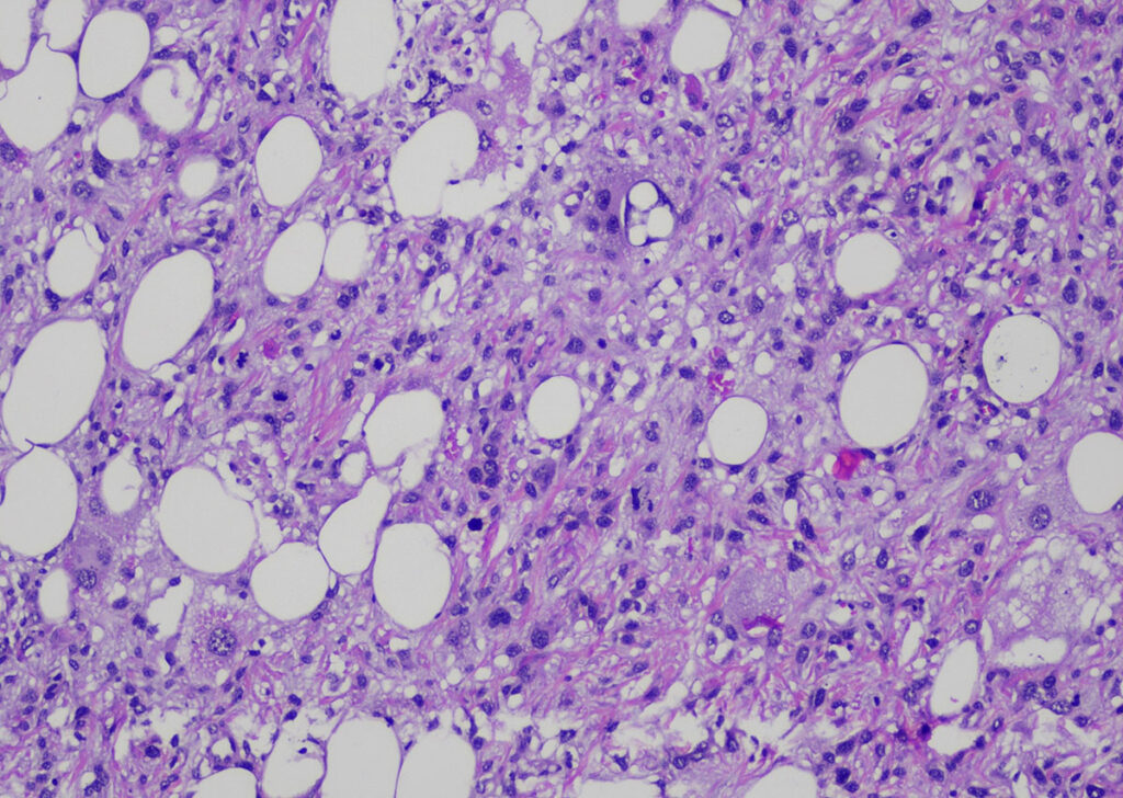
Nelle cavie, predominavano i tumori mesenchimali del (sotto-)cute. Sono stati diagnosticati 508 tumori mesenchimali in totale, di cui 365 benigni e 143 neoplasie classificate come maligne. I tumori sono stati suddivisi in 325 lipomi, 13 fibromi, 13 fibrolipomi e 6 emangiomi. Sono stati diagnosticati altri 8 tumori benigni. Inoltre, sono stati sottoposti a screening 80 sarcomi (non è stato possibile determinare con certezza la popolazione cellulare di origine). Sono stati diagnosticati 29 fibrosarcomi, 24 liposarcomi (Fig. 4) e 10 altre neoplasie mesenchimali maligne.
Tumori epiteliali (sotto-)cutanei
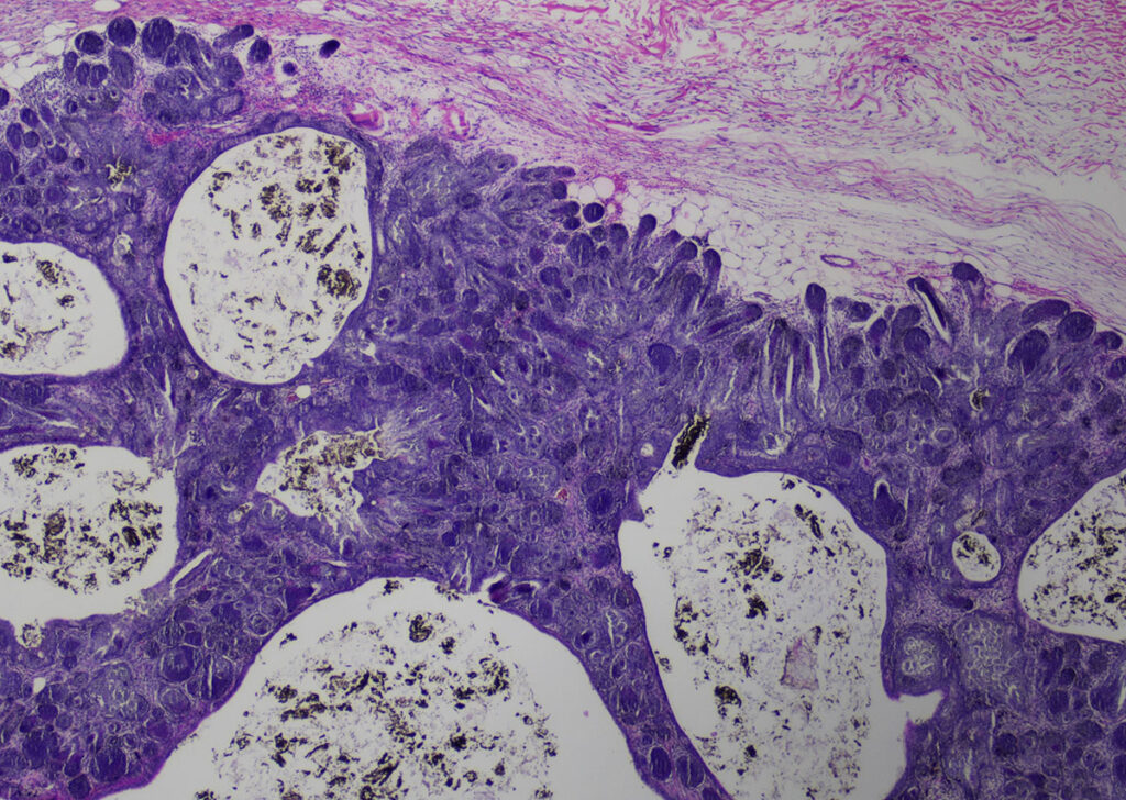
Sono stati sottoposti a screening un totale di 157 tumori epiteliali. Di questi, 142 erano benigni e 15 maligni. Sono stati diagnosticati 124 tricofolliculomi (Fig. 5), 5 tricoepiteliomi, 3 pilomatricomi, 3 adenomi e 7 altre neoplasie benigne. Inoltre, sono stati descritti cinque adenocarcinomi, cinque carcinomi non identificati, tre carcinomi squamocellulari e due carcinomi sebacei.
Altri tumori (sotto-)cutanei diagnosticati includevano 11 linfomi cutanei, 3 melanomi, 1 fibropapilloma e 1 carcinosarcoma.
-
Fig. 1: Localizzazione dei tumori nelle cavie nei campioni inviati a Laboklin (2013-2020)
Fonte: Laboklin
-
Fig. 2: Diagnosi tumorali nelle cavie nei campioni inviati a Laboklin (2013-2020) *NOS: not otherwise specified
Fonte: Laboklin
-
Fig. 3: Distribuzione dei tumori benigni/maligni nei siti di campionamento più frequentemente inviati
Fonte: Laboklin
-
Fig. 4: Liposarcoma (colorazione HE, ingrandimento 100x)
Fonte: Laboklin
-
Fig. 5: Tricofolliculoma (colorazione HE, ingrandimento 20x)
Fonte: Laboklin
-
Fig. 6: Quadro clinico, cavia femmina: escrescenze ulcerativo-crostose in un caso di linfoma epiteliotropico cutaneo
Fonte: © Kleintierpraxis Dr. G. Raila
Linfomi
Anche i linfomi si verificano regolarmente nelle cavie. Oltre al linfoma, è stata descritta anche una forma di leucemia nelle cavie.
La leucemia colpisce in particolare gli animali giovani adulti (di età inferiore ai 3 anni). Gli animali di solito muoiono entro poche settimane.
I 46 linfomi inclusi in questo studio erano localizzati prevalentemente nei linfonodi (n=31), ma anche nella pelle (n=11), negli organi interni (n=3) e nell’occhio (n=1).
Una forma particolare di linfoma cutaneo è il linfoma epiteliotropico cutaneo (sin. micosi fungoide). Si tratta di una malattia tumorale progressiva con caratteristica infiltrazione di linfociti T tumorali (cellule T della memoria) nell’epidermide e negli annessi (Moore, P.F. e Olivry, T., 1994). L’eziologia di questa malattia non è ancora completamente compresa. Questa forma di linfoma si manifesta anche nelle cavie e spesso inizialmente non viene riconosciuta come tumore.
Clinicamente, possono essere presenti eritema, alopecia e desquamazione. Pertanto, spesso si sospetta inizialmente una malattia cutanea. Solo con il progredire della malattia si possono sviluppare escrescenze nodulari (Fig. 6).
Tumori mammari
I tumori mammari della cavia, a differenza di altre specie animali, si verificano regolarmente anche nei maschi (Tabella 1) (Schöniger et al., 2025). Durante il periodo di studio, sono stati sottoposti a osservazione 157 tumori. Di questi, 75 tumori provenivano da animali femmine e 58 neoplasie da animali maschi.
Il sesso di 24 animali era sconosciuto. Sono stati diagnosticati 78 adenomi, 7 fibroadenomi, 71 adenocarcinomi e 1 carcinoma indifferenziato.
Tab.1: Distribuzione dei tumori mammari per genere
| Diagnosi | Quantità | F | FC | M | MC | X |
| Totale | 157 | 74 | 1 | 44 | 14 | 24 |
| Benigni | 85 | 47 | – | 17 | 7 | 14 |
| Maligni | 72 | 27 | 1 | 27 | 7 | 10 |
Legenda: F: femmina, FC: femmina sterilizzata, M: maschio, MC: maschio castrato, X: sconosciuto
Tumori uterini
A differenza dei conigli, le cavie presentano un’ampia gamma di alterazioni uterine.
Queste possono essere non neoplastiche/proliferative. Possono verificarsi tumori semplici benigni o maligni. Tuttavia, possono essere diagnosticati anche tumori misti (Laik-Schandelmaier et al., 2017).
Tra il 2013 e il 2020, sono stati sottoposti a diagnosi 60 tumori della regione uterina. Di questi, 37 erano benigni e 23 maligni. I tumori potevano essere suddivisi in 28 tumori epiteliali, 27 mesenchimali e 5 tumori misti. Tra le alterazioni epiteliali, 19 adenomi predominavano su 9 adenocarcinomi. Inoltre, tra le neoplasie mesenchimali sono stati riscontrati 17 leiomiomi, 8 leiomiosarcomi e 2 sarcomi indistinguibili. Al contrario, solo un tumore misto era benigno, mentre 4 sono stati diagnosticati come tumori misti maligni.
Tumori tiroidei
A differenza di altri piccoli mammiferi, le cavie presentano frequentemente anche tumori alla tiroide. Durante il periodo di studio, sono stati diagnosticati 15 adenomi e 14 carcinomi.
Conclusione
Nel presente studio sui tumori spontanei nelle cavie, predominano le neoplasie benigne del (sotto-)cute e delle mucose. Il lipoma è di gran lunga il tumore più comune, seguito dal tricofolliculoma.
I linfomi epiteliotropici cutanei possono essere clinicamente difficili da distinguere dalle malattie infiammatorie della pelle.
I tumori mammari si verificano sia nelle cavie femmine che nei maschi. Le femmine sterilizzate e i maschi castrati sono stati colpiti meno frequentemente rispetto alle cavie intere nello studio.
L’esame istopatologico è un esame importante per la valutazione prognostica delle dimensioni tumorali, poiché le neoplasie della mammella, dell’utero e della tiroide, in particolare, possono essere sia benigne che maligne.
Questo studio ha dimostrato che un tumore nelle cavie non significa necessariamente una condanna a morte per l’animale. In molti casi, la causa sottostante è benigna e, se individuato tempestivamente da un veterinario e rimosso il tumore, consente all’animale di continuare a vivere una vita sana.
Dott.ssa Claudia Schandelmaier
Esami disponibili sull‘argomento
– Istopatologia
– Citologia









