Le patologie dell’orecchio nei conigli sono una causa comune di visita presso una clinica specializzata in piccoli mammiferi. Sfortunatamente, spesso si tratta di un riscontro occasionale durante l’esame clinico.
L’otite solitamente comporta l’infiammazione di una o più strutture dell’orecchio e, come nel cane e nel gatto, può essere classificata in otite esterna, otite media e otite interna.
Cause
Età, sesso e condizioni di stabulazione hanno scarsa influenza sullo sviluppo dell’otite, sebbene i conigli con orecchie cadenti siano particolarmente colpiti. A causa delle limitazioni anatomiche presenti in questi animali, si verifica una stenosi del condotto uditivo esterno, con conseguente accumulo di cerume davanti al timpano. Una ventilazione ridotta e un’eccessiva umidità nell’orecchio favoriscono l’otite esterna e, in alcuni casi, l’otite media. Traumi, corpi estranei, ectoparassiti e infezioni ascendenti delle vie respiratorie o dei denti sono altre cause di otite nei conigli.
Sintomi
A seconda della causa, si osservano sintomi diversi.
- Accumulo di cerume nell’orecchio esterno: possibile riduzione dell’attività, minore reattività (a causa dell’ovattamento)
- Otite esterna: scuotimento della testa, prurito all’orecchio, alterazioni del padiglione auricolare (arrossamento, calore, depositi, gonfiore, sanguinamento), possibile diverticolosi auricolare (sotto il padiglione auricolare), orecchio cadente (nei conigli con orecchie a punta)
- Otite media: possibile inclinazione della testa, paralisi facciale, sindrome di Horner
- Otite interna: sintomi sopra menzionati e possibile rotolamento, riduzione del benessere generale e riduzione dell’assunzione di cibo
Diagnosi
L’esame dell’orecchio consiste in un esame clinico, citologico e, se necessario, un esame batteriologico/micologico delle secrezioni auricolari (con antibiogramma).
Se si sospetta un coinvolgimento dell’orecchio medio/interno, sono necessarie ulteriori indagini diagnostiche per immagini (radiografia, tomografia computerizzata). Altre infezioni sistemiche vengono escluse mediante un esame del sangue con emocromo differenziale e determinazione degli anticorpi per Encephalitozoon cuniculi.
L’esame dell’orecchio, la citologia auricolare e l’esame batteriologico sono discussi più dettagliatamente di seguito.
Esame clinico
L’esame dell’orecchio inizia con un’ispezione e palpazione accurata dell’orecchio esterno e dell’area circostante (per graffi, lesioni, diverticoli, alterazioni cutanee).
Se la testa è inclinata, è sempre necessario esaminare attentamente palpebre e labbra. Una paralisi facciale monolaterale (contrazione del labbro superiore (Fig. 2), ridotta chiusura palpebrale e/o sindrome di Horner (miosi, ptosi, enoftalmo)) può indicare un coinvolgimento dell’orecchio medio/interno.
Il condotto uditivo esterno viene esaminato utilizzando un otoscopio/videoendoscopio.
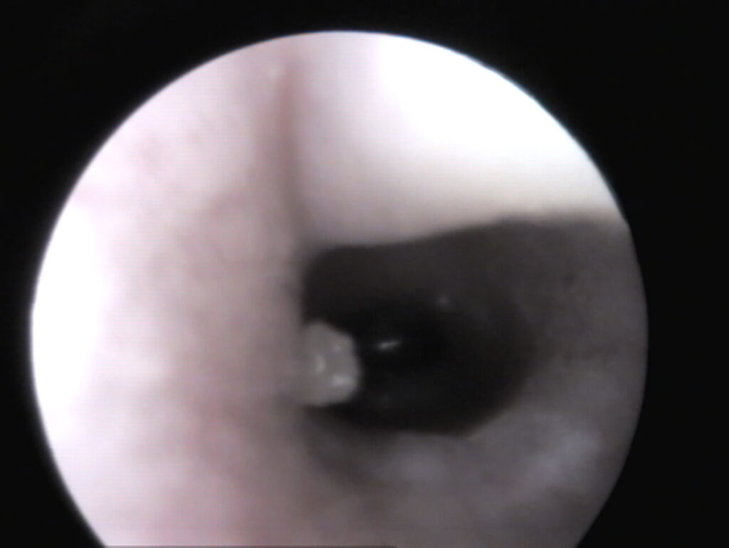
In un orecchio sano, tirando delicatamente il padiglione auricolare verso l’alto (Fig. 1), si riesce solitamente a vedere fino al timpano (Fig. 3). Se è presente materiale nel condotto uditivo, è importante distinguere se si tratta “solo” di cerume accumulato (bianco in profondità, giallastro verso l’orifizio) e il condotto uditivo è altrimenti normale, oppure se sono presenti segni di infiammazione (arrossamento, gonfiore, lesioni, liquefazione del secreto) (Fig. 4) e possibili cause primarie come corpi estranei e/o ectoparassiti.
La citologia aiuta a distinguere tra le due.
Prelievo dei campioni
Per una corretta raccolta del campione, sono necessari uno speculum otoscopico, tamponi sottili (con terreno di coltura), vetrini e coprioggetto. Il prelievo del campione dal condotto uditivo esterno viene solitamente eseguito su un coniglio non sedato (dall’orecchio medio durante l’intervento chirurgico). Avvolgere l’animale in un asciugamano aiuta a prevenire movimenti difensivi (Fig. 1).
Per garantire il prelievo più profondo possibile del campione, il tampone viene spinto con cautela attraverso l’imbuto dell’otoscopio fino a poco prima del timpano e ruotato leggermente. Viene quindi distribuito su uno o due vetrini per l’esame citologico e quindi inserito nella provetta con terreno di coltura per un’eventuale successivo esame colturale. I tamponi vengono conservati a temperatura ambiente o in frigorifero per 24 ore (spediti senza refrigerazione).
È sempre consigliabile prelevare campioni da entrambe le orecchie (se necessario, distribuirli uno accanto all’altro su un vetrino) (Fig. 5), anche o soprattutto se è interessato un solo orecchio, al fine di ottenere un’idea del normale microbioma auricolare del paziente.
Citologia auricolare
La citologia fornisce informazioni importanti sulla composizione della secrezione (cerume o pus) e sulle possibili cause primarie, come ectoparassiti, lieviti e/o aumento della conta batterica. Per la preparazione citologica, il tampone viene steso sottilmente su due vetrini. Un vetrino viene asciugato all’aria ed esaminato per la presenza di ectoparassiti utilizzando un microscopio ottico (condensatore rivolto verso il basso, diaframma chiuso, ingrandimento 100-400x). Il secondo vetrino viene colorato, ad esempio, con DiffQuick® e, dopo l’asciugatura all’aria, anch’esso esaminato (100-400x, 1000x con olio, condensatore rivolto verso l’alto, diaframma aperto).
La citologia fornisce informazioni iniziali sul tipo di secrezione: cerume non colorato (Fig. 6) o pus chiaramente colorato con striature di DNA (residui nucleari di granulociti neutrofili e cheratinociti) e batteri o lieviti (Fig. 7). È possibile anche valutare il numero di batteri (cocchi, bastoncelli) e lieviti (Malassezia). Un numero elevato di striature di DNA e batteri o Malassezia in tutto il campione è indice di un processo infiammatorio. I batteri (sempre delle stesse dimensioni e forma) non devono essere confusi con artefatti di colorazione. Nei campioni di orecchie di coniglio si trovano solo pochi granulociti neutrofili intatti.
Nei conigli, la Malassezia (Malassezia cuniculi) è rotonda, di dimensioni variabili, a volte in germogliazione e di colore blu intenso (Fig. 8).
L’esame citologico deve essere eseguito per la prima volta prima dell’inizio del trattamento e poi per il followup. Il giorno del follow-up, non devono essere più somministrati farmaci nel condotto uditivo.
-
Fig. 1: Esame del condotto uditivo esterno nei conigli mediante otoscopio
Fonte: J. Hein
-
Fig. 2: Paralisi facciale con labbro superiore contratto sul lato destro in un coniglio con orecchie cadenti
Fonte: J. Hein
-
Fig. 3: Vista del timpano (pars tensa – trasparente, pars flacida – tessuto) di un coniglio
Fonte: J. Hein
-
Fig. 4: Vista dell’orecchio esterno pieno di pus di un coniglio – l’orecchio esterno senza alterazioni suggerisce che il pus provenga dall’orecchio medio
Fonte: J. Hein
-
Fig. 5: Vetrino colorato con Diff-Quick® con strisci da tamponi prelevati dalle orecchie destra (R) e sinistra (L) di un coniglio
Fonte: J. Hein
-
Fig. 6: Immagine microscopica di cerume nell’orecchio di un coniglio. Il cerume assorbe a malapena il colorante (ingrandimento 100x,
Diff-Quick®)
Fonte: J. Hein
-
Fig. 7: Immagine microscopica di un tampone auricolare di un coniglio con otite esterna che mostra striature di DNA chiaramente colorate, cheratinociti e neutrofili e cocchi sparsi (ingrandimento 100x, Diff-Quick®)
Fonte: J. Hein
-
Fig. 8: Immagine microscopica di un tampone auricolare di un coniglio con otite da lievito che mostra numerosi esemplari di Malassezia cuniculi, di colore blu intenso e rotondi. Il cerume assorbe a malapena il colorante (ingrandimento 100x, Diff-Quick®)
Fonte: J. Hein
Esame colturale
Per i test batteriologici, i tamponi vengono strisciati su Columbia Blood Agar ed Endo Agar in laboratorio e poi immersi in brodo di arricchimento. Le piastre vengono incubate in aerobiosi a 36 ± 1 °C e la crescita batterica viene controllata dopo 16-24 e 48 ore. Dopo 16-24 ore di incubazione a 36 ± 1 °C, il brodo di arricchimento viene anch’esso strisciato su Columbia Blood Agar ed Endo Agar e incubato in aerobiosi a 36 ± 1 °C per ulteriori 16-24 ore. Le colonie batteriche cresciute vengono identificate o differenziate visivamente o utilizzando il metodo MALDI-TOF.
Per l’esame micologico, i tamponi vengono ulteriormente distribuiti su agar selettivo fungino. L’incubazione avviene a 36 ± 1 °C per un massimo di 7 giorni. I funghi cresciuti vengono differenziati macroscopicamente, microscopicamente o utilizzando il metodo MALDI-TOF.
Microbioma auricolare
L’orecchio medio quando sano è privo di germi. Anche in condizioni di salute, l’orecchio esterno contiene una piccola quantità di flora mista che fa parte del microbioma cutaneo fisiologico. Tra questi rientrano Staphylococcus (S.) aureus, Streptococcus spp., Enterococcus spp., Bacillus spp. e singole Malassezia spp. (Reuschel 2018, Galuppi et al. 2020).
In caso di cambiamenti ambientali e alterazioni patologiche, aumenta in particolare il numero di patogeni Gram-negativi e anaerobi. In due recenti studi tedeschi, sono state isolate fino a 55 specie batteriche appartenenti a 12 famiglie (Hein et al. 2021), con S. aureus (30%) come il più frequentemente rilevato, seguito da Pseudomonas aeroginosa, Pasteurella multocida, Enterobacter cloacae, E. coli, S. haemolyticus, Klebsiella oxytoca e Pasteurella spp. (Reuschel 2018, Hein et al. 2021).
Fino al 50% delle infezioni dell’orecchio risultano negative nonostante i riscontri macroscopici (Reuschel 2018, Hein et al. 2021), sia a causa di un campionamento superficiale del pus che di un precedente trattamento. Pertanto, l’ultimo farmaco (inclusi detergenti auricolari e antibiotici sistemici) dovrebbe idealmente essere stato somministrato almeno 5 giorni prima.
Il prerequisito per una coltura efficace e un risultato significativo è un campione profondo e privo di contaminazioni prelevato prima di iniziare la terapia.
Conclusione
L’otite grave può spesso essere prevenuta con una diagnosi precoce e un trattamento mirato. L’esame dell’orecchio e la citologia sono i primi passi.
Dott.ssa Corinna Hader, Jutta Hein
| I nostri test per le otiti | |
| #174
#204 |
Ectoparassiti (microscopia)
Citologia |
| #150
#1061 #156 #725 |
Batteriologia (aerobi)
Batteriologia (aerobi + anaerobi) Batteriologia + micologia + evtl. antibiogramma |
| #1175
#725 |
Batteriologia + micologia + ectoparassiti (microscopia, colturale, batteriologia + micologia)
+ evtl. antibiogramma |
(# codice esame)











